[해오름+] 혈관성 치매예방
페이지 정보
대우병원 작성일12-05-08 08:26 조회45,504회 댓글0건본문
혈관성 치매 예방
운동과 식이요법 금연으로 OK![]()
신경외과 전문의 강재규 대우병원장
뇌는 1500mg 정도로 신체의 약 2% 밖에 안 되지만, 심장으로부터 약 15% 정도의 혈액을 공급받는 가장 중요한 기관이다.
뇌는 생각하고 판단하고 감정을 표현하고 느끼며, 우리 신체의 움직임을 조절하며 호흡, 심장박동, 땀분비, 소화와 같은 자율적인
중추기능을 담당하고 있다. 이런 기능 때문에 다른 기관에 비해 상대적으로 훨씬 많은 혈액과 산소가 뇌조직으로 공급되면서, 혈액은
뇌에 영양 공급과 기능 유지에 중요한 역할을 한다.
혈액 공급에 문제를 일으키는 원인은 고혈압, 당뇨, 고지혈증, 비만, 흡연 등 다양하지만 이중 흡연은 특히 위험하다. 흡연시
폐의 원활한 산소 공급을 위해 적혈구가 증가하며, 더 많은 혈액을 내보내기 위해 심장은 과부하를 일으키고, 혈액 농도를 상승시켜
미세혈관을 더욱 심하게 망가뜨린다. 니코틴은 혈관 단백질을 파괴하고 미세혈관을 수축시켜, 기능 저하와 함께 혈관내피를 파괴시킨다.
이것이 뇌에 분포하는 미세혈관에 영향을 미쳐 혈관성 치매를 유발한다.
뇌에 분포하는 혈관을 두께에 따라 큰혈관, 중간혈관, 가는 혈관으로 구별할 수 있다. 최근 뇌혈관수술 기구와 기술의 발달로 큰
혈관과 중간혈관에 발생한 동맥경화나 혈전은 아주 가는 관을 삽입하여 제거하거나 용해 할 수 있지만 가는 혈관의 시술은 불가능하다.
특히 감정과 자율적인 기능을 담당하는 뇌 부위는 가는 뇌혈관이 산소와 포도당을 공급하고 있다. 피가 혈관 밖으로 나오면 더 이상
출혈이 안 되도록 혈소판과 섬유소가 혈전을 만드는데, 혈관 내피가 손상되고 변화되면 혈전이 혈관내에서 발생한다. 이렇게 형성된
혈전이 혈류를 타고 다니다가 우리 몸에 분포하고 있는 가는 혈관을 막아 조직들을 망가뜨리며, 뇌에 분포하는 혈관을 막았을 경우
혈관성 치매가 유발된다. 한번 진행된 혈관성 치매는 회복이 안 된다.
혈전이 뇌의 가는 혈관을 일시적으로 차단해서 발생하는 일과성 뇌허혈은 마비증상 혹은 시력 감소, 안면마비, 언어 장애등이
나타났다가 수분에서 수시간 내에 회복되면서 증상자체는 소실되지만, 뇌영상인 MR 검사에서 흔적을 볼 수 있다. 뇌경색 환자
10명중 2-3명은 일과성 뇌허혈이 발생하고 추후 심한 뇌경색으로 진행되므로 중요한 뇌경색 경고가 된다.
나이가 들면 동맥도 자연히 퇴화 과정을 거친다. 이 때 혈관벽에 침착되는 죽상현상이 혈관벽을 두껍게 한다. 침착된 혈관은 탄력이
감소하고 혈관내관이 감소하여 혈류속도를 빠르게 한다. 두꺼워진 혈관에 침착이 더욱 진행되면 압력이 증가하여 약한 부위에서 혈관이
터져 뇌출혈을 일으킨다. 죽상현상이 심화되어 혈관이 딱딱해지거나 더욱 두꺼워지면 내경이 좁아지면서 뇌경색이 발병한다. 마치
오래된 아파트 수도관 안쪽이 녹슬어 부스러지는 현상과 유사하다.
예전에 같이 근무했던 절친한 외과 계통 의사 선배는 만능 스포츠맨이자 애연가에 애주가였다. 그는 혈당과 콜레스테롤이 상승되는
삽겹살, 돼지 껍질구이, 곱창 등을 즐겼다. 매번 식생활 변화를 제안했으나, 그는 짧은 인생을 즐기겠다고 하셨다. 그러던 어느 날
이상이 찾아왔다. MR 촬영결과 경미한 뇌경색이 발병하였다, 건강에 위기를 느낀 선배는 금연을 시작하고 규칙적인 운동과 적절한
칼로리의 식단 섭취 실천하면서 큰 호전을 보였다. 규칙적인 운동과 식이요법 그리고 금연의 실천만으로도 심장마비와 치매 없이 건강을
유지 할 수 있다.
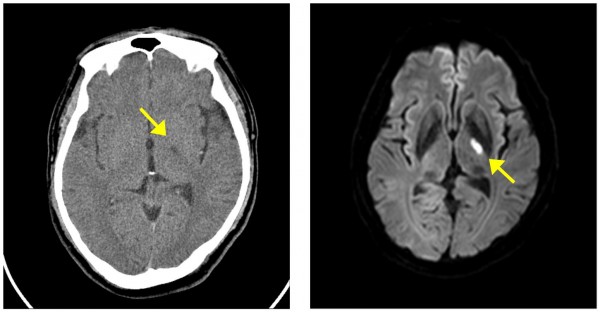
죄측 기저부로 가는 혈관이 막혀 우측 팔에 힘이 빠진 58세 환자의 영상
Tip.
대사증후군 - 만성적인 대사 장애로 당뇨, 고혈압, 고지혈증, 비만, 심혈관계 죽상동맥 경화증
등의 여러 가지 질환이 한꺼번에 나타나는 경우
혈관성치매 - 뇌경색, 뇌출혈 등 뇌혈관 질환에 의해 뇌 조직이 손상을 입어 치매가 발생하는
것으로 기억력 감퇴, 언어 능력 저하, 시공간 파악능력 저하, 판단력 및 일상생활
수행능력의 저하 등의 증상이 나타나는 질환
